Odontología de vanguardia, estamos en Juan José Castelli

Un correcto diagnóstico es la clave de un tratamiento exitoso

Solicitá un turno
  • clinicadental-cys

    Título de diapositiva

    Escriba su subtítulo aquí
    Botón
  • Título de diapositiva

    Escriba su subtítulo aquí
    Botón
  • Título de diapositiva

    Escriba su subtítulo aquí
    Botón

¿Quiénes somos?

Los inicios de la clínica se remontan aproximadamente hace 40 años atrás en la ciudad de Castelli. La clínica inició en la calle Dr Vazquez bajo la atención de la Dra. Cetrolo Mirtha Alicia, años después se trasladó a la calle Padre Carlos Lauth, en donde se encuentra ubicada hasta el día de la fecha, pero hoy a cargo de su hija Dra. Soria Virginia, desde hace más de 10 años, contando en la actualidad con varios profesionales y un servicio de radiología digital de última generación al servicio de la comunidad.

Se atienden pacientes de todas las edades, contamos con especialistas para cada área, con tecnología innovadora y una atención personalizada.

Servicios

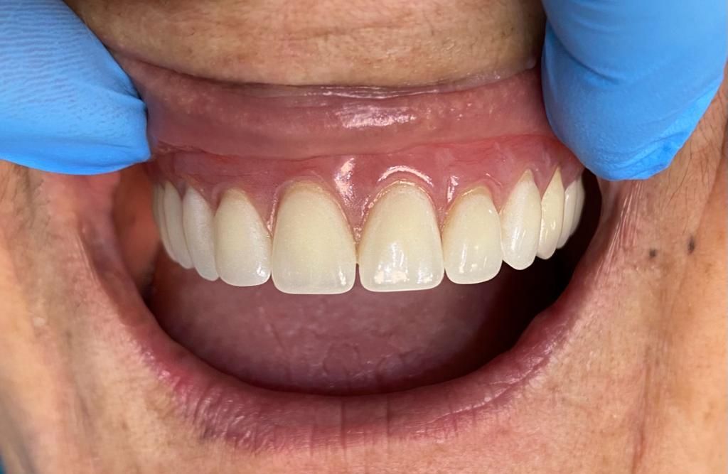
Especializados en ortodoncia, implantes dentales y diagnóstico por imágenes.

Nuestros servicios

Presentamos un servicio de diagnóstico por imágenes digitales único en la zona, con el que realizamos radiografías panorámicas, telerradiografías , estudios cefalométricos, ATM boca abierta y boca cerrada, Radiografías de Senos Maxilares, Carpal, fotografías intra y extraorales , escaneado intraoral, modelos de estudios 3D

Contactate con nosotros

Completá el formulario y un representante se pondrá
en contacto con vos a la brevedad